发布时间:2022-05-23
近日,广东省妇幼保健院孙善权教授团队成功为一例刚出生2月的完全性大动脉转位患儿行重建右心室流出道—Barbero-Marcial(左心耳延长肺动脉)手术。术中采用了佰仁医疗BalMonoc®流出道单瓣补片。这是国内首个正式上市的带单瓣植入器械,可用于治疗需要重建右心室流出道及肺动脉的各类复杂先天性心脏病,术后10年随访效果良好,为这类患儿及家庭带来福音。
孙善权主任在术中(左一)
病例资料:
患儿男性,因“胎儿期发现心血管异常,生后2月余”入院。术前诊断:完全性大动脉转位/室间隔缺损/左室流出道及肺动脉瓣狭窄(重度)/卵圆孔未闭,孙善权教授团队详尽研究临床检查资料,讨论各种手术方案。既往国内外均采用心外管道的Rastelli手术,在婴幼儿及儿童几乎100%需要再次手术更换外管道。为尽最大可能避免再次手术,决定采用Barbero-Marcial(左心耳延长肺动脉连接右心室流出道切口),以佰仁医疗的BalMonoc®流出道单瓣补片重建右室流出道及肺动脉瓣。Barbero-Marcial手术方法是巴西医生在国际上首次报道,应用于永存动脉干的右心室流出道及肺动脉重建,具有良好的生长性,避免使用外管道而狭窄。孙善权主任改进手术方法(使用左心耳或右心耳),并应用BalMonoc®流出道单瓣补片重建肺动脉瓣功能,在国际上率先应用于复杂型大动脉转位、肺动脉闭锁等复杂先心病的右心室流出道及肺动脉重建, 15年来共手术70余例。
BalMonoc®流出道单瓣补片是基于佰仁公司早年成功研制牛心包生物瓣的基础上,根据复杂先心患儿右室流出道及肺动脉瓣膜的病理和生理特点,以独特的结构设计和缝制工艺,最终研制出带有无支架牛心包单瓣的跨瓣环补片——流出道单瓣补片,最大程度满足右室流出道及肺动脉修复,同时防止肺动脉瓣返流,其瓣叶经专利抗钙化处理有效增强了耐久性。广东省妇幼保健院使用流出道单瓣补片的随访结果良好,10年生存率(1例接种疫苗并发症死亡)与免手术率均为98.8%(1例因感染性心内膜炎再手术)。随访时间1-11年。所有患者肺动脉瓣无需要外科干预的狭窄,血流速度(m/s)平均值1.6米/秒。73%的患者肺动脉瓣无或轻度反流,24.6%的患者中度反流,仅2.4%的患者为中-重度反流。右心室均在正常范围,Z值在-1.12-1.34之间。
手术步骤:
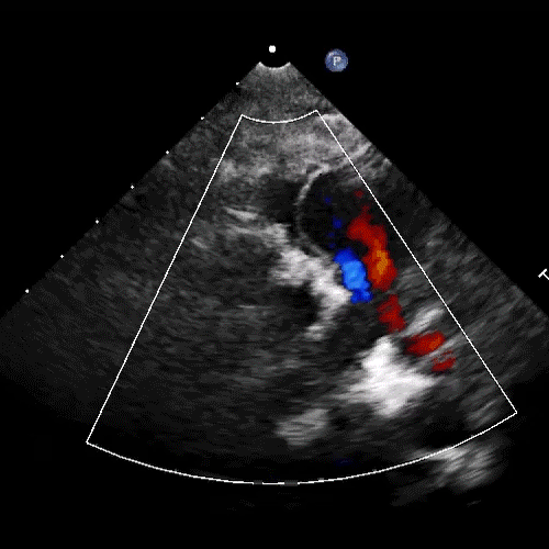
本例手术步骤:肺动脉根部离断肺动脉后,缝闭肺动脉近端。右心室无冠区做T形切口,经右心室切口,扩大室间隔缺损,缝合牛心包补片修建左室至主动脉的心内隧道。左心耳上缘与肺动脉切口下缘吻合,左心耳下缘缝合于右室切口上缘,形成肺动脉主干后壁,测量约18-20mm宽。取22#流出道单瓣补片,裁剪至合适大小,缝合至形成的肺动脉主干及右室流出道前壁,完成右室流出道及肺动脉重建。手术过程顺利,单瓣植入位置理想,术后超声见瓣叶开合正常,压差均在理想范围内,瓣膜微量返流。术中及术后患者生命体征平稳,无并发症发生。

右室T形切口 缝合左心耳重建肺动脉后壁

单瓣补片重建肺动脉前壁 术后超声
我国人口基数大,出生缺陷导致的先天性心脏病患者较多,已达200万。每年出生的婴儿中先天性心脏病患儿约有15-18万,长期占出生缺陷的首位,其中有近5 万患儿为复杂先心病。这些患儿大多数涉及肺动脉瓣出生缺陷,唯有手术重建治疗才能持续生存。BalMonoc®流出道单瓣补片就是专用于肺动脉瓣出生缺陷治疗,重建右室流出道的必备产品。
BalMonoc®流出道单瓣补片是全球首款正式上市的该类产品,填补了人工跨瓣环加宽修复主肺动脉及肺动脉瓣这一领域的空白。产品的研制成功是佰仁医疗人工生物心脏瓣膜抗钙化技术在婴幼儿生物瓣膜领域实现的开创性突破,结束了长期以来人工生物心脏瓣膜不能用于婴幼儿的历史。公司已上市的“肺动脉带瓣管道”与“流出道单瓣补片”,以及在研中的“无支架生物瓣带瓣管道”,将共同成为佰仁医疗先心外科终生解决方案中的重要产品,几乎可覆盖全部手术植入用修复与重建肺动脉瓣的治疗之需求。此外,公司研发的“介入肺动脉瓣及输送系统”也已进入临床试验阶段,为植用上述产品多年后可能需要人工肺动脉瓣再介入治疗的患者提供接续治疗。由此证实佰仁医疗可为各年龄段以及各类瓣膜病患者提供心脏瓣膜置换与修复的植介入瓣膜类产品。