一“针”换双瓣,十指救病心——全国首例“瓣中瓣”、“环中瓣”同期手术

发布时间:2022-04-28

在广东省人民医院心脏外科病房中,有许多高龄、重症患者等待瓣膜手术,而其中的一位便是蔡先生(化名);他是一位已经于数年前接受过心脏手术的患者,心脏的4个瓣膜中有三个做了手术:主动脉瓣生物瓣置换、二尖瓣成形、三尖瓣成形。然而,他的两个瓣膜即置换后的主动脉生物瓣重度狭窄、成形术后的二尖瓣重度反流,这些再次出现的严重问题威胁着病人的生命,蔡先生常常感到胸闷、胸痛,睡觉都躺不平,稍微活动一下,都感觉像在跑步一样气喘。这样的情况需要尽快手术干预,对这两个瓣膜进行再次置换手术,否则,蔡先生随时都有生命危险。

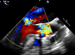
患者超声心动图:严重的主动脉瓣狭窄、二尖瓣返流

如果按照传统开胸手术,该患者需要经历凶险的再次开胸、原有主动脉瓣生物瓣和二尖瓣成形环拆除、主动脉瓣及二尖瓣置换等多项复杂手术操作,对于七十多岁的老年重症患者,无疑是个巨大的手术创伤和打击,因此,如何采取合适的治疗手段的这一重任,便落在了具有丰富临床经验的心脏外科黄焕雷主任医师的肩上。

黄焕雷主任医师想到了在科室开展临床试验的佰仁医疗Renato®介入瓣中瓣系统,该产品已经完成150余例“瓣中瓣”注册临床研究,并且也有成功应用于二尖瓣“环中瓣”的尝试,已经成功救治了很多危重病人。于是,黄焕雷主任带领团队,迅速开展各项检查,夜以继日地对患者进行病情的评估和术前药物调整,设计手术方案,为蔡先生制定个体化的外科手术策略,并通过各种影像学方式,“重建”了患者的心脏解剖、原有人工植入瓣膜和成形环的形态,在此基础上,预先模拟手术操作过程,制定各类预案以应对各项突发情况,真正做到对危重症病人的“精准化”诊治。

在经过反复设计、讨论、演练,黄焕雷主任计划通过微创介入方式,使用Renato®瓣中瓣系统,行主动脉瓣“瓣中瓣”、二尖瓣“环中瓣”植入术——即在患者原有主动脉瓣生物瓣内再次植入新的主动脉生物瓣,在原有二尖瓣人工成形环内植入新的二尖瓣生物瓣。但是,国内同期行“瓣中瓣”合并“环中瓣”尚属首次,并未太多经验可以借鉴,手术难度高、风险大,对外科医师的水平极为考验。黄焕雷主任医师拥有丰富的外科技艺和介入瓣膜植入的临床经验,对该患者做好了充分的术前准备和治疗策略,在充分准备后,蔡先生便迎来了手术日这一重要的一天。

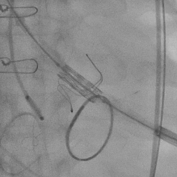
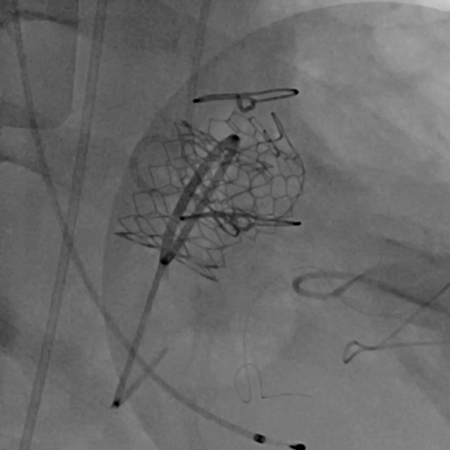
黄焕雷主任带领具有丰富经验的心脏麻醉医师、体外循环师、超声心动图医师、手术室、心外重症监护室、心脏导管室多学科团队,联合心内科专家谢年谨主任,为蔡先生实施小切口下、介入途径的主动脉瓣“瓣中瓣”、二尖瓣“环中瓣”的同期植入手术:黄主任首先在患者左前胸做一小切口,暴露患者的心尖,在跳动的心脏上“绣”上荷包作为介入导管、瓣膜的植入“门户”;随后,黄焕雷主任在超声心动图、放射透视的引导下,将一钢针在患者心尖“扎”入患者心脏内,为之后的瓣膜植入作为引导,具体来说就是将预先选择适合患者大小的生物瓣膜折叠、压缩入细长的输送管道内,好比将瓣膜这一“弹头”安放在输送导管这颗精准制导的“火箭”上,而黄主任的双手则控制这一精准发射和制导,再将瓣膜输送到主动脉合适的位置后释放,新的主动脉瓣便牢固地“卡”在了原有的主动脉瓣架内。经过透视和超声心动图评估,主动脉瓣位置合适,开放、闭合功能良好。随后,黄主任通过这一根钢针和输送导管,利用类似的方式,调整“火箭”的发射轨道,在原有二尖瓣人工瓣环内植入预先选择好大小的二尖瓣生物瓣膜,经过影像学方式评估,新植入的二尖瓣生物瓣工作良好。

球扩释放主动脉瓣瓣中瓣

球扩释放二尖瓣环中瓣

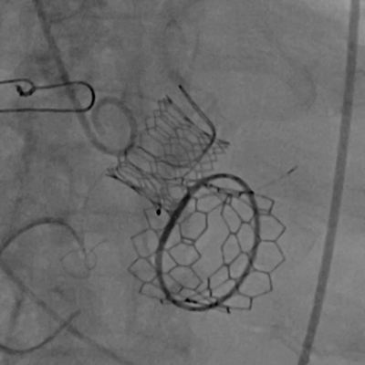
术后主动脉根部造影

术后左室造影

黄主任带领的多学科团队,顺利地完成了国内首例“瓣中瓣”、“环中瓣”同期联合手术,现在蔡先生在术后两天,便顺利地从心外重症监护室转回了普通病房,经过不到两周的治疗,便康复出院了。原本重症、复杂的瓣膜疾病,在黄主任带领的多学科团队协作下,使用微创、介入的方式,为患者“量身定做”具体的治疗策略,改善原有手术效果、加速患者康复,让更多心脏病患者获得新生!

球扩瓣膜 蓄势待发

佰仁医疗Renato®介入瓣中瓣系统,采用全球主流的球扩式短支架设计,尺寸全面,径向支撑力强,输送安全,定位精准,易于释放,适合于不同瓣位及不同入路的瓣中瓣治疗。该瓣膜的设计与工艺实现了以本企业成熟的外科牛心包瓣同样的启闭模式与血流动力学特性,特别是加速疲劳测试验证了其与外科牛瓣相同的耐久性,采用经长期临床验证的抗钙化改性处理的牛心包为瓣叶材料,有效提高术后耐久性。该产品未来将为更多类似需要治疗的瓣膜病患者提供救治机会。

专家简介

黄焕雷 教授

广东省人民医院

主任医师,博士生导师,瓣膜及冠心病外科主任,长期从事心脏外科临床医疗工作,对心脏瓣膜病、冠心病、先心病、房颤的手术治疗有丰富的临床经验。尤其擅长各类微创心脏手术,如微创二尖瓣三尖瓣修、微创主动脉瓣和多瓣膜置换、微创搭桥、以及介入瓣膜(TAVI)手术治疗。曾任中华医学会胸心血管外科学分会青年委员;任《中国胸心血管外科临床杂志》、《中华外科杂志》、《临床外科杂志》及《中华临床医师杂志(电子版)》等审稿专家,获广东省科技进步二等奖1项,广东省医学科技二等奖1项。主持并参与多项广东省基础与应用基础基金重点项目、多中心临床研究、广东省自然科学基金等项目。