发布时间:2021-12-14
2021年12月10日,四川大学华西医院心外科郭应强教授带领的TAVI团队,正式启动佰仁医疗Renatus®球扩式经导管主动脉瓣系统临床试验入组,并于当天成功完成3例球扩瓣介入手术(本次启动的TAVI和先前启动的瓣中瓣临床试验)。本研究既是首个正式启动的国产球扩式TAVI多中心注册临床试验,也是继佰仁医疗介入瓣中瓣多中心临床试验后第二个球扩式介入瓣正式注册临床试验,具有重要意义。
TAVI病例
患者男性,91岁,因胸痛伴呼吸困难7月入院。心脏超声提示主动脉瓣重度狭窄,轻中度反流,伴瓣叶重度钙化,瓣环中度钙化。CT分析提示:Type-1型二叶瓣,重度钙化,瓣环平均直径25.3mm,瓣环面积488.9mm²,面积径25.0mm。左冠脉开口高度9.8mm,瓣叶长度13.9mm,为左冠梗阻高风险,右冠脉开口高度13.5mm。横位心(瓣环平面夹角76°)。患者超高龄,虚弱,长期卧床,并且合并慢性阻塞性肺病、冠心病、肾功能不全等多种合并症,STS评分17.8%,属于常规外科开胸换瓣手术极高风险患者,适合行经导管主动脉瓣置换术。
外周血管评估
术前经详尽影像学重建、评估及病例讨论,计划经右侧股动脉植入25#球扩式介入瓣。术中使用21#球囊进行预扩,植入25# Renatus®介入主动脉瓣。手术全程顺利,血流动力学稳定,主动脉瓣植入位置理想,功能表现出色,DSA及TEE评估无瓣中反流,仅有轻微瓣周反流。主动脉瓣峰值流速由术前4.4m/s降至1.6m/s,平均压差由术前49mmHg降至4.4mmHg。

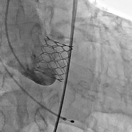
球扩释放瓣膜 术后主动脉根部造影
四川大学华西医院郭应强教授表示:
随着我国人口老龄化不断加剧,瓣膜退行性病变不断增多,尤其是老年性钙化性主动脉瓣狭窄。主动脉瓣狭窄已成为临床上最常见的心脏瓣膜病之一,外科主动脉瓣置换是主动脉瓣瓣膜疾病治疗的金标准。近年来经导管介入瓣膜技术的发展,越来越多的患者开始接受创伤更小的介入主动脉瓣置换术(TAVI),尤其是高龄及外科换瓣手术高风险的患者。
基于国际上介入瓣膜的临床结果显示球扩瓣具有显著的优势:更强的径向支撑力,更低的永久起搏器植入率,更少的瓣周漏率,对冠脉保护更具有优势,且易于定位操作。国际上使用的介入主动脉瓣产品中,球扩瓣份额占据绝对优势。而目前国内除了进口球扩瓣,尚无正式上市的国产球扩式介入主动脉瓣系统。我感觉佰仁医疗的这款球扩瓣,其有效性、安全性和操控性达到了临床应用的要求,而且Renatus®介入主动脉瓣拥有覆盖更全的型号,多样化的输送系统,多种路径的选择。可根据情况灵活采用经股或经心尖等多种入路来完成瓣膜植入,应用前景广阔,相信其可以使更多患者受益。