博鳌-外科直播复盘,复旦大学附属中山医院魏来教授团队介入主动脉瓣置换术(TAVI),让日间手术成为常规

发布时间:2021-09-28

2021年9月27日,复旦大学附属中山医院魏来教授团队于博鳌外科网络直播了一例重度主动脉瓣狭窄、主动脉瓣二叶瓣(Type 1型)的经股动脉TAVI手术,这是佰仁医疗Renatus球扩式介入主动脉瓣首次在直播中登台亮相。 病例

患者女性,75岁,因“反复胸闷、胸痛1年余”入院。超声心动图示主动脉瓣重度狭窄钙化,伴中重度关闭不全。CT显示主动脉瓣为Type 1型二叶瓣,且无冠瓣与左右冠瓣融合嵴形成“T型”钙化结构,属TAVI挑战病例。瓣环平均直径22.5mm,瓣环面积402.0mm²。左冠脉开口高度11.8mm,右冠脉开口高度11.0mm。术前TEE示峰值流速4.9m/s,平均跨瓣压差54mmHg,有强烈手术指征。

 

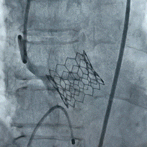
9月27日上午10时,直播开始,魏来教授团队耗时约1小时,经右侧股动脉植入23# Renatus介入主动脉瓣。瓣膜植入位置理想,功能表现出色,造影及经食道超声观察显示瓣膜无中央性返流,轻微瓣周漏,无冠脉血流受阻,无传导阻滞,主动脉瓣峰值流速降至2.0m/s,平均跨瓣压差降至7mm/Hg。手术取得圆满成功。

 

术前心脏彩超                               术后心脏彩超

 

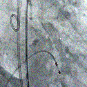
术前造影(见大量反流)                                   术后造影

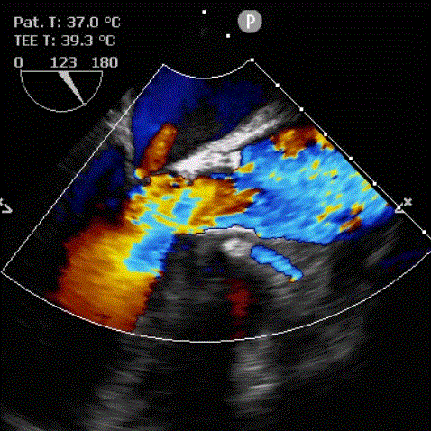
术后经食道超声

据了解,患者术后恢复迅速,无并发症发生,今天(术后24小时)满面笑容康复出院。目前复旦大学附属中山医院心外科TAVI术后1-2天出院已形成常规。


患者次日出院

复旦大学附属中山医院魏来教授表示:

随着人口老龄化,瓣膜退行性变发病率不断升高,主动脉瓣狭窄已成为老年人最常见的心脏瓣膜病之一。以往开胸换瓣一直是标准的治疗方案,近年来随着经导管介入瓣膜技术的发展,越来越多的患者开始接受创伤更小的介入主动脉瓣置换术(TAVI),尤其对于70岁以上高龄以及常规外科换瓣手术高风险的患者优势更大。

国际上越来越多的临床结果显示球扩瓣具有更理想的径向支撑力、更低的瓣周漏发生率、更低的起搏器植入风险、更低的术后死亡率,且更易于定位操作,因此国际上各类介入主动脉瓣产品中,球扩瓣使用量占绝对优势。

本次手术直播的TAVI患者是瓣膜结构较为复杂的二叶式主动脉瓣畸形。这类病例主动脉瓣钙化重、形态不规则,选瓣难度大、定位要求高、并发症概率高。无论对术者的操作要求,还是对介入器械的质量要求,均比正常的三叶式主动脉瓣TAVI要高。本次患者手术成功再次证实了国产Renatus介入主动脉瓣的有效性、安全性和操控性均达到了设计要求,可以攻克主动脉瓣二瓣化畸形所带来的挑战。

魏来教授在术中(右1)

球扩瓣膜 蓄势待发

佰仁医疗Renatus介入主动脉瓣系统,采用全球主流的球扩式设计,瓣架高度低、径向支撑力强,输送安全、定位精准,易于释放,结合多种入路的输送系统设计,适合各种路径的介入主动脉瓣置换术。并且基于该瓣膜支架的特殊纹理设计,日后可实现二次扩张,更有利于未来可能的瓣中瓣治疗。该瓣膜的设计与工艺实现了以本企业成熟的外科牛心包瓣同样的启闭模式与血流动力学特性,特别是加速疲劳测试验证了其与外科牛瓣相同的耐久性;采用经长期临床验证的抗钙化改性处理的牛心包为瓣叶材料,使该产品顺利通过全性能注册检验和动物实验验证,目前已启动国内多家知名心脏中心的正式临床试验。该临床试验正面向社会招募患者,为更多类似需要救治的危重患者提供救治机会。

关于佰仁医疗

佰仁医疗是国内动物源性植介入材料与人工心脏瓣膜研发与生产的高新技术企业。公司于2019年正式登陆上交所科创板(股票代码:688198),成为国内人工心脏瓣膜领域首家上市企业。公司拥有动物源性材料的核心处理技术,其生产的外科牛心包生物瓣膜是目前国产瓣膜中唯一被大组、长期临床实践证实的成熟产品,其长达14年大组随访结果出色,已发表在国际知名期刊上。公司研发的介入瓣中瓣、介入主动脉瓣,介入肺动脉瓣等多项产品已启动正式临床试验。

专家简介

魏来

复旦大学附属中山医院

主任医师、博士生导师

复旦大学附属中山医院微创心血管外科主任

复旦大学附属中山医院心外科副主任

上海市心脏瓣膜工程技术研究中心副主任

上海市医学会心脏大血管外科分会副主委

国家心血管病中心微创心血管外科专委会常委兼秘书长

中华医学会胸心血管外科学分会全国委员

中国医师协会心血管外科医师分会全国委员

中国医师协会腔内血管学分会心脏瓣膜病专家委员会副主委

中国医师协会机器人外科医师分会常委

特需门诊:周三上午(中山医院15号楼3楼)

专家门诊:周三下午(中山医院16号楼3楼)

中山医院微创心血管外科团队是国内心脏瓣膜领域的权威,可为患者提供最专业、合理、安全的微创心脏瓣膜手术全套解决方案,包括药物治疗、胸腔镜手术、机器人手术、小切口手术、以及各种介入瓣膜手术等。

对于部分符合筛选条件的患者,中山医院微创心血管外科可为您提供多项介入瓣膜手术免费临床研究项目,涵盖主动脉瓣、二尖瓣、三尖瓣、肺动脉瓣病变的治疗。您不但可以享受到国际最前沿的微创治疗技术,而且将为您的家庭节省大笔开支,同时还将获得我们团队最专业的免费长期随访服务。