中国首个“瓣中瓣”临床试验:华西医院郭应强教授团队启动佰仁医疗球扩瓣入组

发布时间:2021-10-12

2021年10月8日,四川大学华西医院郭应强教授团队正式启动佰仁医疗球扩式介入瓣临床试验,并通过多种入路成功完成3例主动脉瓣、二尖瓣 “瓣中瓣”手术。本研究既是首个正式启动的国产球扩瓣临床试验,也是中国首个介入“瓣中瓣”多中心临床试验,具有重大意义。

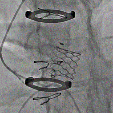
病例1(经心尖主动脉瓣瓣中瓣):

患者男性,59岁,3年前行主动脉瓣置换手术,植入23#Mosaic生物瓣。心脏超声提示主动脉瓣人工生物瓣中重度瓣口返流,伴轻度二尖瓣返流,左室收缩功能明显下降,考虑主动脉瓣置换术后人工生物瓣毁损。患者STS评分10.9%,属于外科换瓣手术高风险患者。

术前经详尽影像学重建和评估,该款人工生物瓣显影不理想,通过CT重建测量瓣环直径,评估冠脉梗阻风险。考虑到患者横位心,主动脉迂曲严重,最终选用经心尖入路,植入21# Renato球扩式瓣中瓣。手术顺利,瓣中瓣植入位置理想,功能表现出色,主动脉瓣峰值流速由术前3.4m/s下降至2.0m/s,平均跨瓣压差由术前32mmHg下降至8mmHg。经食道超声观察无瓣周漏及瓣中反流。

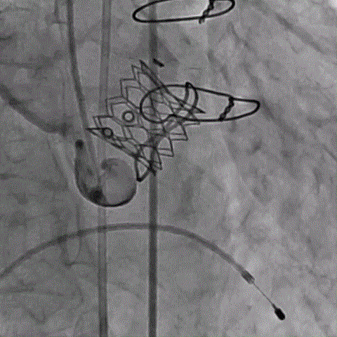
病例2(经心尖二尖瓣瓣中瓣):

患者女性,68岁,既往行二尖瓣生物瓣置换术,植入27#Perimount生物瓣,心脏超声提示二尖瓣生物瓣重度狭窄,伴三尖瓣轻度反流,考虑二尖瓣置换术后人工生物瓣毁损。STS评分8.6%,属于外科换瓣手术高风险患者。

术前经详尽评估患者病情,通过CT重建测量瓣环直径、左室流出道面积。考虑到之前经房间隔入路外科换瓣,房间隔瘢痕严重,最终采用经心尖途径植入25# Renato球扩式瓣中瓣。手术顺利,瓣中瓣植入位置理想,功能表现出色,二尖瓣峰值流速由术前2m/s下降至1.4m/s,平均跨瓣压差由术前10mmHg下降至2mmHg,左室流出道压差正常,经食道超声观察无明显瓣中及瓣周返流。

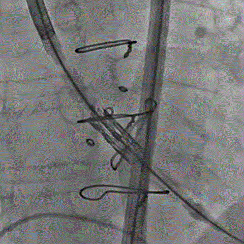
 病例3(经股动脉主动脉瓣瓣中瓣):

患者女性,65岁,既往行主动脉瓣置换手术,植入23#Hancock II生物瓣。心脏超声提示人工主动脉瓣生物瓣重度狭窄,二尖瓣轻度狭窄伴轻中度反流,三尖瓣轻度反流,左室增大,左室壁明显肥厚,考虑人工主动脉瓣生物瓣损毁。患者STS评分10.5%,属于外科换瓣手术高风险患者。

术前经详尽影像学重建和评估,CT重建测量瓣环直径,评估冠脉梗阻风险及外周血管条件。最终采用经股动脉入路植入21# Renato球扩式瓣中瓣。手术顺利,瓣中瓣植入位置理想,功能表现出色,主动脉瓣峰值流速由术前4m/s下降至2m/s,平均跨瓣压差由术前40mmHg下降至6mmHg。经食道超声观察无瓣周漏及瓣中反流。

 

四川大学华西医院郭应强教授表示:

生物瓣相比于机械瓣可以为患者带来更好的生活质量,减少抗凝相关并发症,越来越多患者愿意接受生物瓣治疗。随着国内生物瓣应用逐年增加,我们遇到的生物瓣毁损患者数量也越来越多,以前这些患者均需要再次开胸,在体外循环心脏停跳下进行再次手术。“瓣中瓣”新技术的应用使这类患者免于再次开胸手术之苦,迅速有效改善患者瓣膜毁损症状,手术时间短,上述几例患者手术的主要操作部分均不到半小时,优势非常明显。尽管迄今为止国内还没有一款正式获批上市的瓣中瓣产品,相信这款受试产品从临床研究开始就可造福于患者。

我们此次采用了经心尖、经股动脉两种路径植入了主动脉瓣、二尖瓣两种不同瓣位的瓣中瓣,治疗了3种不同品牌的毁损生物瓣。通过初步应用已经证实Renato球扩式瓣中瓣有效性、安全性和操控性出色,可比肩进口球扩瓣,并且适用于不同的临床情形。该产品拥有更多的尺寸型号,输送系统调弯更灵活,预计应用前景更加广阔。

球扩瓣膜 蓄势待发

佰仁医疗Renato介入瓣中瓣系统,采用全球主流的球扩式设计,瓣架高度与外科瓣类同、径向支撑力强,输送安全、定位精准,易于释放,适合于不同瓣位及不同入路的瓣中瓣手术。该瓣膜的设计与工艺实现了以本企业成熟的外科牛心包瓣同样的启闭模式与血流动力学特性,特别是加速疲劳测试验证了其与外科牛瓣相同的耐久性,采用经长期临床验证的抗钙化改性处理的牛心包为瓣叶材料,使该产品顺利通过全性能注册检验和动物实验验证,目前已启动正式多中心临床试验。该临床试验正面向社会招募患者,为更多类似需要救治的危重患者提供救治机会。
[图片]

关于佰仁医疗

佰仁医疗是国内动物源性植介入材料与人工心脏瓣膜研发与生产的高新技术企业。公司于2019年正式登陆上交所科创板(股票代码:688198),成为国内人工心脏瓣膜领域首家上市企业。公司拥有动物源性材料的核心处理技术,其生产的外科牛心包生物瓣膜是目前国产瓣膜中唯一被大组、长期临床实践证实的成熟产品,其长达14年大组随访结果出色,已发表在国际知名期刊上。公司研发的介入瓣中瓣、介入主动脉瓣,介入肺动脉瓣等多项产品已启动正式临床试验。

专家简介

郭应强

四川大学华西医院

四川省学术技术带头人;四川省卫计委学术技术带头人;美国胸外科学会(AATS)会员;美国胸外科医师协会(STS)会员;国际微创心胸外科学会(ISMICS)会员;四川省医学会胸心外科专委会 常委;《中国胸心血管外科临床杂志》编委;国家心脏中心微创专家委员会副主任委员;中国医药教育协会心脏外科专业委员会副主任委员;亚洲心脏瓣膜病学会中国分会常务委员;亚洲心脏瓣膜病学会中国分会介入治疗技术委员会副主任委员;欧美同学会医师协会大血管疾病分会副主任委员。