发布时间:2021-09-11
2021年9月5日,山东省立医院心外科邹承伟教授、王正军教授团队正式启动佰仁医疗球扩式介入瓣临床试验,当天与复旦大学附属中山医院魏来教授合作经心尖入路成功完成1例二尖瓣“瓣中瓣”手术。本研究既是首个正式启动的国产球扩瓣临床试验,也是中国首个介入“瓣中瓣”多中心临床试验。该研究由复旦大学附属中山医院牵头,联合多家国内知名心脏中心参与,具有重大意义。
病例摘要
患者女性,72岁,12年前行二尖瓣生物瓣置换术,近2月无明显诱因出现胸闷胸痛,伴双下肢水肿,夜间不能平卧。心脏超声显示二尖瓣置换术后、二尖瓣中重度反流,三尖瓣中度反流、肺动脉高压。STS评分8.51%,属于外科换瓣手术高风险患者。
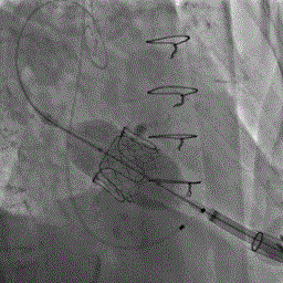
术前经详尽评估患者病情,通过CT重建测量瓣环直径、左室流出道面积。结合之前外科换瓣手术入路,最终决定对该病例采用经心尖途径行二尖瓣“瓣中瓣”手术。既往植入27# CE BP猪瓣,测量支架内径23mm,选用25# Renato球扩式瓣中瓣。手术过程顺利,最终瓣中瓣植入位置理想,功能表现出色,左室造影及经食道超声观察无明显瓣中及瓣周反流。瓣中瓣植入后观察左房峰值压明显下降,二尖瓣平均跨瓣压差降至1mmHg,左室流出道压差正常。

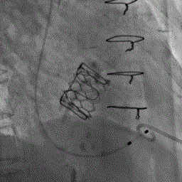
术前左室造影见大量反流 术后左室造影无反流
瓣中瓣释放
山东省立医院邹承伟教授表示:
生物瓣相比于机械瓣可以为患者带来更好的生活质量,减少抗凝相关并发症,越来越多患者愿意接受生物瓣治疗。随着国内生物瓣应用逐年增加,我们遇到的生物瓣毁损患者数量越来越多,“瓣中瓣”技术使这类患者免于再次开胸手术之苦,有效迅速改善患者瓣膜毁损症状,优势非常明显。虽然国内迄今为止还没有一款正式获批上市的瓣中瓣产品,相信这款受试产品从临床研究开始就可造福于这类患者。
对于佰仁医疗的Renato介入式瓣中瓣系统,邹承伟教授认为通过初步应用已经证实其有效性、安全性和操控性出色,球扩瓣定位精准,技术容易掌握。而且该产品拥有更全面的尺寸型号,多样化输送系统可以适应各种不同入路植入,预计应用前景更加广阔。
球扩瓣膜 蓄势待发
佰仁医疗Renato介入瓣中瓣系统,采用全球主流的球扩式设计,瓣架高度与外科瓣类同、径向支撑力强,输送安全、定位精准,易于释放,适合于不同瓣位及不同入路的瓣中瓣手术。该瓣膜的设计与工艺实现了以本企业成熟的外科牛心包瓣同样的启闭模式与血流动力学特性,特别是加速疲劳测试验证了其与外科牛瓣相同的耐久性,采用经长期临床验证的抗钙化改性处理的牛心包为瓣叶材料,使该产品顺利通过全性能注册检验和动物实验验证,目前已启动正式多中心临床试验。该临床试验正面向社会招募患者,为更多类似需要救治的危重患者提供救治机会。
关于佰仁医疗
佰仁医疗是国内动物源性植介入材料与人工心脏瓣膜研发与生产的高新技术企业。公司于2019年正式登陆上交所科创板(股票代码:688198),成为国内人工心脏瓣膜领域首家上市企业。公司拥有动物源性材料的核心处理技术,其生产的外科牛心包生物瓣膜是目前国产瓣膜中唯一被大组、长期临床实践证实的成熟产品,其长达14年大组随访结果出色,已发表在国际知名期刊上。公司研发的介入瓣中瓣、介入主动脉瓣,介入肺动脉瓣等多项产品已启动正式临床试验。
专家简介
邹承伟
山东省立医院
心脏大血管外科主任,山东省立医院心血管中心副主任,主任医师,山东大学教授,博士研究生导师,国际微创心胸外科协会委员,国家心脏病中心大血管专业委员会委员,中国医师协会心血管外科协会所属瓣膜病协会副主任委员,中国医师学会心血管外科分会委员会常务委员,中国医师协会心脏重症专家委员会第一届山东省心脏重症委员会委员,山东省医学会心外科分会主任委员,山东省医师协会心外科医师分会主任委员,山东省心脏大血管外科质量控制中心主任,山东省心力衰竭委员会副主任委员,«Innovation»杂志中文版编委,«中国体外循环»杂志编委。
目前承担国家级课题3项,省级课题5项,获得省部级科技成果奖5项,发表SCI文章15篇,主编著作3部,主译著作1部,国家级发明专利1项。
王正军
山东省立医院
医学博士,美国梅奥临床医学中心高级访问学者,山东省立医院心脏大血管外科主任医师,博士研究生导师。国家心血管病专家委员会微创心血管外科专业委员会委员,亚洲心脏瓣膜学会中国分会介入治疗技术学术委员会委员,中国医师协会结构性心脏病专业委员会委员,山东省医师协会心外科医师分会副主任委员,山东省心脏大血管外科质控中心副主任委员,山东省医师协会腔镜委员会心外科分会副主任委员,山东省医学会心血管外科分会委员兼秘书,山东省医师协会心力衰竭委员会委员,山东省立医院第二届十佳青年医师。从事心脏大血管外科工作21年,擅长心脏瓣膜病、冠心病、先天性心脏病及主动脉疾病的临床诊断及治疗,尤其在经导管介入主动脉瓣植入术(TAVI)、CP支架治疗降主动脉缩窄、微创治疗先天性心脏病及心脏手术的围手术期处理等方面有丰富的临床经验,2013年开始着手研究钙化性主动脉瓣狭窄的发病机制。