发布时间:2021-06-25
2021年6月15日,首都医科大学附属北京安贞医院心外科张海波教授团队正式启动佰仁医疗球扩式介入瓣临床试验,当天经心尖入路成功完成2例二尖瓣“瓣中瓣”手术。本研究既是首个正式启动的国产球扩瓣临床试验,也是中国首个介入“瓣中瓣”多中心临床试验。该研究由复旦大学附属中山医院牵头,联合多家国内知名心脏中心参与,具有重大意义。
张海波教授团队
病例1
患者女性,71岁,既往因风湿性瓣膜病行双瓣Balmedic生物瓣置换(二尖瓣行25# Balmedic生物瓣置换),1年前开始复发活动后胸闷气短,心脏超声提升二尖瓣生物瓣毁损,重度狭窄。近期症状加重,心衰反复发作,胸腔积液,心脏超声复查显示二尖瓣生物瓣重度狭窄。STS评分9.7%,属于外科换瓣手术高风险患者。
病例2
患者女性,75岁,既往因风湿性瓣膜病行27# Perimount生物瓣置换,近半年活动后胸闷气短明显,伴双下肢浮肿和平卧睡眠呼吸困难,心电图为阵发心房扑动伴右束支传导阻滞,心率65-75次/分。4年前曾心率慢伴有长间歇进行永久起搏器植入。心脏超声显示二尖瓣生物瓣毁损,重度狭窄伴轻度反流。STS评分8.3%,属于外科换瓣手术高风险患者。
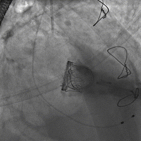
术前经详尽评估两名患者病情,通过CT重建测量瓣环直径、左室流出道面积。结合之前外科换瓣手术入路,最终决定对这两病例采用经心尖途径行二尖瓣“瓣中瓣”手术。病例1植入23# Renato球扩式瓣中瓣。病例2考虑到左室流出道面积偏小,为避免左室流出道梗阻,瓣中瓣植入位置需要更偏向心房侧,为减少迟发性移位风险,植入27# Renato球扩式瓣中瓣。最终两例瓣中瓣植入位置理想,功能表现出色,左室造影及经食道超声观察无明显瓣中及瓣周返流。瓣中瓣植入后观察二尖瓣峰值流速与平均压差均降至正常范围,左室流出道压差正常。

病例1 球扩二尖瓣 病例1 左室造影

病例1 三维超声 病例1 三维超声
(瓣中瓣植入前) (瓣中瓣植入后)
病例2 球扩二尖瓣
两名患者均术后恢复理想,术后2小时内即拔除气管插管,临床症状明显改善。
首都医科大学附属北京安贞医院张海波教授表示:
生物瓣相比于机械瓣可以为患者带来更好的生活质量,减少抗凝相关并发症,近年来越来越多患者愿意接受生物瓣治疗。随着国内生物瓣应用逐年增加,生物瓣植入后使用年限的累积,我们遇到的生物瓣毁损患者数量也越来越多,“瓣中瓣”技术使这类患者免于再次开胸手术之苦,有效迅速改善患者瓣膜毁损症状,优势非常明显。虽然国内迄今为止还没有一款正式获批上市的瓣中瓣产品,相信这款受试产品从临床研究开始就可造福于这类患者。
在张宏家院长和心外科中心朱俊明主任,心外科瓣膜中心首席专家孟旭教授大力支持下,以及心外科瓣膜中心李岩教授、王坚刚教授协助下,麻醉、体外、手术室、重症监护、超声、影像等多学科团队齐心协力,我们成功完成了首批瓣中瓣病例入组。
我们了解到之前佰仁医疗Renato介入式瓣中瓣系统的初步应用已经证实其有效性、安全性和操控性可比肩进口球扩瓣,我们通过本次应用也进一步证实了这一点。而且该产品拥有更多的尺寸型号,输送系统调弯更灵活,可适合多种入路需求,对于不同瓣位适应性出色,也适合各种不同品牌、不同种类毁损生物瓣的治疗,预计应用前景将更加广阔。
球扩瓣膜 蓄势待发
佰仁医疗Renato介入瓣中瓣系统,采用全球主流的球扩式设计,瓣架高度与外科瓣类同、径向支撑力强,输送安全、定位精准,易于释放,适合于不同瓣位及不同入路的瓣中瓣手术。该瓣膜的设计与工艺实现了以本企业成熟的外科牛心包瓣同样的启闭模式与血流动力学特性,特别是加速疲劳测试验证了其与外科牛瓣相同的耐久性,采用经长期临床验证的抗钙化改性处理的牛心包为瓣叶材料,使该产品顺利通过全性能注册检验和动物实验验证,目前已启动正式多中心临床试验。该临床试验正面向社会招募患者,为更多类似需要救治的危重患者提供救治机会。
关于佰仁医疗
佰仁医疗是国内动物源性植介入材料与人工心脏瓣膜研发与生产的高新技术企业。公司于2019年正式登陆上交所科创板(股票代码:688198),成为国内人工心脏瓣膜领域首家上市企业。公司拥有动物源性材料的核心处理技术,其生产的外科牛心包生物瓣膜是目前国产瓣膜中唯一被大组、长期临床实践证实的成熟产品,其长达14年大组随访结果出色,已发表在国际知名期刊上。公司研发的介入瓣中瓣、介入主动脉瓣,介入肺动脉瓣等多项产品已启动正式临床试验。